
近日,杨孜欢研究员团队在Science子刊Science Translational Medicine上发表了题为“靶向SIRT2通过诱导MLH1缺陷增强临床前结直肠癌模型的抗肿瘤免疫应答”的研究论文(点击文末阅读原文查看)。该研究通过基于质谱的蛋白质组学分析以及临床验证,发现SIRT2低表达与结直肠癌患者更好的预后以及免疫活跃的肿瘤微环境密切相关。靶向SIRT2 可以改善pMMR肠癌免疫治疗疗效。
结直肠癌(CRC)是全球第三大常见恶性肿瘤,通常具有低肿瘤突变负荷和免疫抑制性的肿瘤微环境(TME)。尽管免疫检查点抑制剂(ICIs)为CRC提供了有前景的治疗选择,但其疗效仍然有限。
肿瘤中错配修复(MMR)系统的状态是预测抗PD-1/PD-L1免疫治疗反应的关键因素。目前主流观点认为, MMR缺陷型CRC(dMMR-CRC)由于无法有效修复突变,积累大量变异并呈现更多免疫原性新抗原,从而增强CD8⁺ T细胞的细胞毒性反应,因此对免疫治疗更敏感。相反,约95%的CRC属于MMR功能正常型(pMMR-CRC),其特征是较低的肿瘤突变负荷(TMB)和较少的淋巴细胞浸润,更容易发生免疫逃逸,且对ICIs不敏感。克服pMMR-CRC免疫治疗耐药性是亟待解决的关键科学问题。
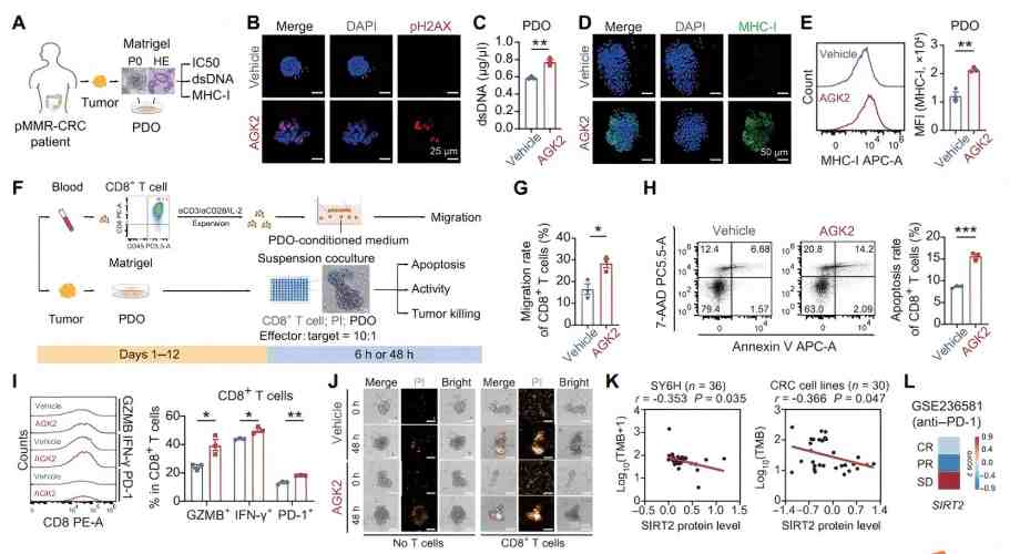
研究团队通过多组学大数据分析发现SIRT2是CRC免疫逃逸的关键分子。无论是基因敲低还是药理学抑制SIRT2,均可增强细胞毒性 CD8⁺ T细胞的浸润和杀伤效应,从而诱导肿瘤消退。进一步的体外实验分析表明,SIRT2可与MMR蛋白MLH1相互作用并对其去乙酰化,从而防止MLH1泛素化和降解。SIRT2的敲低或抑制会下调MLH1表达,增加DNA损伤,并激活cGAS-STING先天免疫信号通路。此外,体内外实验均显示,抑制SIRT2可促进肿瘤新抗原的生成,并增强MHC-I类分子的抗原呈递,将肿瘤微环境重塑为免疫活跃状态,并诱导持久的免疫记忆。最后,研究团队采用SIRT2抑制剂AGK2联合抗PD-1治疗,显著增强了免疫反应,使肿瘤对免疫治疗更敏感,并在体内模型中实现了明显的肿瘤缩小。
该研究旨在揭示SIRT2在调控免疫应答中的作用,并探索使CRC对免疫治疗更敏感的新策略。通过多种动物模型、患者来源的类器官及临床样本,作者系统评估了SIRT2在调控MLH1蛋白稳定性、新抗原产生及呈递、以及cGAS-STING依赖的免疫激活等方面的功能影响。
我院临床检验科主任杨孜欢研究员为本论文的通讯作者;高倩玲、杨兰兰博士研究生,和叶树标助理研究员为论文共同第一作者。